普美科普丨上皮细胞(Epithelial Cell)

发布人: 发布时间:2026.03.30
上皮细胞是指位于皮肤或腔道表层的细胞,它的形状有扁平状,柱状等等,皮肤外层的上皮细胞普遍的角质化,有保护和吸收的作用,腔道中的上皮细胞多分化,有分泌、排泄和吸收等功能。

中文名称

上皮细胞

英文名称

Epithelial Cell

形状差异

扁平、柱状

主要分布

鼻腔、鼻咽、器官、肺、胃、肠

所在位置

皮肤或腔道表层

主要作用

保护和吸收

上皮细胞是什么

上皮细胞是位于皮肤或腔道表层的细胞。上皮细胞根据器官的不同而有所不同:尿常规的上皮细胞,是衰亡、脱落的皮细胞,没有很特定的指向意义。非SLE的人,包括正常人,有了什么相关的炎症,脱落下去,给尿常规检到了,也是有的。

上皮细胞分类


上皮组织分为被覆上皮、腺上皮、感觉上皮、生殖上皮、肌上皮等,而通常所说的上皮就是指被覆上皮。
上皮细胞按细胞层数可分为单层和复层两类,按形状可分为柱状和鳞状。
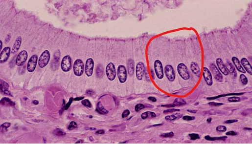
柱状上皮细胞:主要分布于鼻腔、鼻咽、器官、肺、胃、肠、子宫颈、子宫内膜及输卵管等部位。
图片


柱状上皮细胞

鳞状上皮细胞:被覆于全身皮肤、口腔、喉部、鼻咽的一部分、食道、阴道的全部以及子宫颈。鳞状上皮细胞分为基底层细胞、中层细胞和表层细胞。


图片


鳞状上皮细胞

上皮细胞作用


皮肤外层的上皮细胞普遍角质化,有保护和吸收的作用。
腔道中的上皮细胞多分化,有分泌,排泻和吸收等功能。
消化器官和肺等器官表面的上皮细胞,对于消化吸收、交换氧等发挥着重要作用 [1] 。


上皮细胞特点


上皮组织的结构特点是细胞结合紧密,细胞间质少。通常具有保护、吸收、分泌、排泄的功能。
1.细胞间紧密结合,细胞外有一层细胞衣细胞衣就是组成细胞膜的糖蛋白外露的糖链,具有较强的粘着作用,细胞间隙中的钙离子,和细胞间特殊的细胞间连接对细胞的粘合也有重要作用。
2.明显的极性,细胞的两端在结构上和功能上有差别,一端表面朝向体表或体内管、腔、囊的腔面,叫游离面;与游离而相对的另一端,叫基底面。分布在不同部位的上皮组织的细胞游离面,常有不同的特化结构与其特定的功能相适应。如肠上皮有密集的微绒毛扩大了吸收面;呼吸道上皮有能摆动的纤毛,可以排出侵入的灰尘等异物。基底面一般借一层基膜与其深层的结缔组织相连。有些上皮细胞的基底面,还具有扩大细胞基底表面积的胞膜内褶或加强与基膜连接的结构。
3.一般没有血管,其营养由深层结缔组织中的毛细血管透过基膜供应。基膜在血液与上皮组织的物质交换中起着有选择性的分子筛作用。
4.上皮组织内神经末梢的分布较丰富,因此感觉较灵敏。例如,皮肤的表皮和支气管上皮就如此。


上皮细胞培养


1)表皮细胞培养
1.取材:取外科植皮或手术残余皮肤小块,以角化层薄者为佳,早产流产儿皮肤更好,切成0.5~1平方厘米小块。
2.EDTA处理:先置入0.02%EDTA中室温置5分钟。
3.冷消化:换入0.25%胰蛋白酶中,置4℃过夜。
4.分离:取出皮肤,用血管钳或镊子把表皮与真皮层分开。
5.温消化:取出表皮单独处理,用剪刀剪成更小的块后,置入新的0.25%胰蛋白酶中,37℃再消化30~60分钟。
6.用吸管轻轻反复吹打,使成细胞悬液。
7.培养液:通过80目不锈钢纱网滤过后,低速离心,吸上清,直接加入Eagle液和20%小牛血清,制成细胞悬液,接种入碟皿中,CO2温箱培养。
2)乳腺组织培养
直接培养法:(适于培养含纤维少的软组织)。
1.在含有少量培养液或Hanks液的容器中,用锋利刀片将组织反复切割成碎块。
2.把组织碎块连同液体注入离心管中,再补加少许培养液,用吸管吹打片刻,置试管架3~5分钟。吸除上层液可排除非乳腺细胞部分。重复2~3次。
3.末次处理结束后,向沉降管中再补加培养液,用吸管稍吹打,使沉降物重悬。不待细胞团块下降立即通过3~4层无菌纱布滤入另管中。
4.调整好适宜密度,接种入培养瓶中培养。
胶原酶消化法:(适于处理含纤维多的较硬组织)
其过程与培养其它组织相同。
3)胃上皮细胞培养
1.取材:取胃溃疡或胃癌手术切除胃标本远端非病变区粘膜少许。
2.清洗:用含庆大霉素(400微克/毫升)和二性霉素(2微克/毫升的Hanks)液漂洗后,用钝器剥离下粘膜,剪成1mm3大小。
3.消化:在I型胶原酶和透明质酸酶中,于37℃中消化80分钟。
4.离心:收集细胞悬液,800转/分离心后,Hanks液漂洗两次。
5.接种:末次离心后加入含有1%~2%胎牛血清的完全培养基,接种入不同孔数的培养板中,接种量依不同实验目的而定。
4)肝细胞培养
初代组织块培养:取新鲜肝脏,先剥除被膜和血管等纤维成分,用刀或剪刀把肝脏剪成1mm3左右的小块,采用帖壁培养法。
5)内皮细胞培养
1.取产后的新鲜脐带。如不立即培养可以保存于4℃中,但不宜超过12小时。无菌剪取长10~15厘米一段。其它如胚胎和幼体动物的大血管,亦可用于培养。
2.先用三通注射器吸温PBS液注入脐带的静脉中,洗除残血,注入口处宜用线绳结扎,以防液体返流。
3.用血管钳夹紧脐带一端,从另端向脐静脉中徐徐注入终浓度为0.1%的胶原酶,待末端出现液体后结扎之,令充满血管,注入口亦应结扎,以防液体返流,消化3~10分钟。
4.吸出含有内皮细胞的消化液,注入离心管中,为获取更多细胞,可再注入温PBS冲洗2~3次彻底清除干净残余细胞,一并注入离心管中离心。
5.吸除上清,加1640培养液,制成细胞悬液,接种入瓶皿中培养,顺利时2~3天内细胞即可长成单层。
6)毛细血管内皮细胞培养
肿瘤条件培养基制备:
1.取C3H小鼠的S-180实体肉瘤组织。
2.胰蛋白酶消化,Dulbecco改良Eagle氏培养液15ml(含10%小牛血清),接种到T-75 Falcon产培养瓶中培养。
3.在细胞生长接近完全汇合时,收集培养液制成条件培养基;再用含10%小牛血清的新培养液后,也每隔两天收集一次,可获得多量条件培养。
4.4000转/分离心后,再通过0.22μm微孔滤膜滤过,-20℃冻存备用(临用前融解)。



Copyright ©湖北普美生物科技有限公司 All Rights Reserved.    工信部备案:鄂ICP备17001029号-1    技术支持:武汉微盟

  • 首页
  • 电话
  • 咨询
  • 顶部